Der Trinken dieses Safts kann Bauchfett reduzieren, sagt Wissenschaft
Plus, sechs beeindruckende gesundheitliche Vorteile, die Sie vom Saft dieser mächtigen Früchte gewinnen können.
Wenn es ein Under-the-Radar-Frucht gab, das Ihrem Körper dabei helfen konnte,Krebs kämpfen., Unterstützungsorganfunktion und vielleicht sogaraussehen jünger... Sie möchten lernen, was diese Frucht ist, richtig? Es gibt eine Beere mit all diesen Vorteilen, nach mehreren Studien. Diese sogenannte "Wonder-Berry" ist möglicherweise wert, Ihre Ernährung hinzuzufügen.
Die AMLA-Früchte, auch bekannt als indische Stachelbeere, ist bekannt für seine bemerkenswerte Liste der gesundheitlichen Vorteile. Ein 2011.lernen veröffentlicht in derEuropäisches Journal der Krebsprävention Sagte, dass die Amla "wohl der wichtigsten Heilpflanze des indischen traditionellen Systems der Medizin" ist. Es wurde beachtet, um zu helfenvergossen ungesunde Fett mit Krankheit verbunden, und das ist nur einer der vielen Vorteile.
Amla ist vielleicht keine Früchte, die Sie auslaufen können, und finden Sie in nur einem Lebensmittelgeschäft, aber es ist eine kleine Suche wert. Amla kann als ganzen Früchte, Saft oder Pulver gekauft werden, das in Wasser, einem Smoothie oder einem Glas frisch gepressten Saft gerührt werden kann.
Lesen Sie weiter, um über die Macht von Amla zu lernen, und die Vorteile, die es für ein strahlendes Bauchfett und mehr bieten kann. Auschecken auchJeden Tag eine große Wirkung von Salaten, sagt Wissenschaft.
AMLA wurde gezeigt, um Bauchfett zu reduzieren.

WieGesundheitslinie Berichte,eine Studie 2017. stellte fest, dass "AMLA-Extrakt reduziertes Körpergewicht und Bauchfett, während die Fettlebererkrankung in Ratten auf fettreiche Ernährung verbessert wird."BauchfettNatürlich ist die Art von Fett, das für Ihre Gesundheit am schädlichsten ist, da er mit einer Reihe von Krankheiten wie Diabetes verbunden ist undHerzkrankheit-Was sind in einigen Fällen durch eingesunde Ernährung.
VERBUNDEN:Melden Sie sich für unseren Newsletter an Für die neuesten gesunden Essensnachrichten.
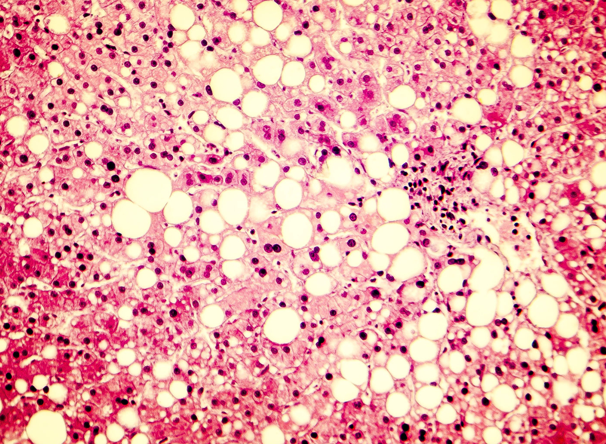
Amlasaft kann eine fetthaltige Lebererkrankung verhindern.

Es ist kein hübsches Bild, aber fettige Lebererkrankungen, die bekannt ist, dass sie die häufigste chronische Lebererkrankung ist - kann ein Ergebnis einer ungesunden Ernährung sein, beispielsweise einer, der hoch in Alkohol, gesättigtem Fett ist, oderZucker.Eine Studie 2015. Das stellte fest, dass Amlasaft zu einer Erhöhung der Produktion von Proteinen führte, die eine Fettlebererkrankung in einer Gruppe von Nagetieren verhindern, die eine hohe Fructose-Diät gefütterte.
VERBUNDEN:Ernährungsgewohnheiten, die für Ihre Leber schrecklich sind, laut Wissenschaft
Amla-Saft unterstützt das Verdauungssystem.

Für Symptome von saurem Reflux, Durchfall, Sodbrennen und sogar Magengeschwüre,Gesundheitslinie listet mehrere Studien auf, die demonstriert, dass Amlasaft erhebliche Erleichterung für eine Reihe von liefertVerdauungsprobleme.
Amla kann für Ihre Herzgesundheit gut sein.

Wenn es um die kardiovaskuläre Gesundheit geht, haben mehrere Studien gezeigt, dass Amlasaft auf verschiedene Weise liefert.Forschung hat gezeigt, wie AMLA den Blutdruck, Cholesterin, Fett und mehr veränderte. Konsistent wurde AMLA gezeigt, um die Auswirkungen dieser Gefahren auf die kardiovaskuläre Gesundheit zu reduzieren.
VERBUNDEN:Wenn Sie dies für nur 12 Wochen trinken, können Sie Ihre Herzgesundheit verbessern, sagt neue Studie
Amla unterstützt die Nierengesundheit.

Eine Anzahl vonTierstudien haben gezeigt, dass der AMLA-Extrakt die Befugnis hat, Nierenschaden zu verhindern und die Funktion der Nieren zu normalisieren, sogar in Verbindung mitNierenschäden das kann mit dem Alter kommen.
Amla kann das Haarwachstum anregen.

Gesundheitslinie Gibt an, dass AMLA "häufig verwendet wird, um das Haarwachstum zu stimulieren und vor Haarausfall zu schützen." In verschiedenenStudienEs hat sich gezeigt, dass AMLA bestimmte Zellen in Haarfollikeln anregt, um das Haarwachstum zu erhöhen, während auch Enzyme mit Haarausfall verbunden sind.
Denke, das ist faszinierend? Dann müssen Sie lesenEin überraschender Effekt-Kaffee hat nach einem Dermatologen auf Ihrem Haar.
Amla-Saft kann die Immunität fördern.

Weitere Forschung ist notwendig, um zu bestimmen, ob AMLA-Saft direkt beeinflusst ...jedoch, einer2015 Lebenswissenschaft Studium Es wurde festgestellt, dass eine einzige Amla-Berry 600 bis 700 Milligramm Vitamin C enthält. Das nächste Mal, wenn Sie die Sniffles haben, ist das nächste Tag, das Amla-Pulver am nächsten Tag ist, ein Versuch wert ist.
Diese Vorteile von Amla, sein Saft und seines Extrakts könnten es zu einem ernsthaften Segen für Ihre Ernährung machen. Melden Sie sich für unseren Newsletter für Ernährungsnachrichten an und erfahren Sie mehr über Amla, indem Sie lesen14 Beste Adaptogene, die Ihr Körper lieben wird.
Weiter lesen:
Probieren Sie dieses einfache Bodyweight-Training aus, um Fett zu verbrennen und sich zu lücken
Wissenschaftler zeigen den herzzerreißenden Grund, warum tote graue Wale am Ufer immer wieder waschen