Lungenkrebs; Eine Krankheit, die sowohl Raucher als auch Nichtraucher einfängt
Jeder hatte entweder davon gehört oder verwendet sie mindestens einmal in ihrem Leben, dass, „Vorbeugen ist besser als heilen.“ Prävention kann jedoch möglicherweise einen von G retten
Jeder hatte entweder davon gehört oder mindestens einmal in ihrem Leben verwendet, das "Prävention besser ist als Heilung". Die Prävention kann jedoch möglicherweise schwach oder regelmäßig kalt werden. Die Wahrheit ist jedoch zu erfahren, dass mehrere Krankheiten nach dem Überqueren einer bestimmten Etappe unheilbar sind.
In den Jahrzehnten ist Krebs zu einer der Hauptursachen für Todesfälle geworden. Von 8 großen Krebsarten ist Lungenkrebs eine der am häufigsten verbreiteten Krebs, die jedes Jahr die maximale Anzahl von Menschen tötet, die sowohl Männer als auch Frauen auf der ganzen Welt umfasst. Wir haben alle von Beispielen gehört, in denen Krebspatienten ausgehärtet sind. Die Zahl der von ihm sterbenden Personen steigt jedoch rasch an.
Existenz vor Zigaretten
Sie werden überrascht sein, zu wissen, dass Lungenkrebs viel vor, bevor Zigaretten in den Trend kamen. Wenn es fast keine Umweltverschmutzung gab, im Vergleich zum heutigen Datum. Der erste Fall von Lungenkrebs wurde 1761 aufgezeichnet. In diesen Tagen hatten jedoch nur Menschen mit mehreren Gesundheitsproblemen es. Es wird davon ausgegangen, dass der Lungenkrebs nur die Lunge beeinflusst, wenn in der Realität diese Krankheit in einem Prozess namens Metastasierung über den Körper verteilt werden kann, was bedeutet, dass Tumoren sich in das Gehirn ausbreiten können und den Verlust von lebenswichtigen Funktionen verursachen können, z. Vision.
Wie ist es möglich?
Zigarettenrauchen ist der häufigste Grund, der das Risiko von Lungenkrebs erhöht. Nicht nur für diejenigen, die rauchen, sondern für diejenigen, die dem Tabakrauch passiv ausgesetzt sind, haben fast gleiche Chancen von Lungenkrebs. Diese beiden sind die Hauptgründe für Lungenkrebs.
Rauchen? Nicht wirklich
Ja, das Rauchen ist die Hauptursache für Lungenkrebs. Weder jeder Raucher hat jedoch Lungenkrebs noch Lungenkrebs nur in Raucher. Innerhalb von Nonmokers wird Radon-Exposition angenommen, um eine wesentliche vermeidbare Ursache für Lungenkrebs zu sein ", sagte Mara Antonoff, MD, THORACIC Surgeon und Assistant Professor an der University of Texas MD Anderson Cancer Center in Houston.
Über Gene übertragen?
Nicht jeder Raucher und der passive Raucher entwickelt Lungenkrebs, und es gibt Patienten, die nie Tabakrauchen taten und noch die Krankheit haben, die zur Frage führt; Was verursacht eigentlich diese Killerkrankheit?
Wir alle erben bestimmte Gene und wenn Gene eingreift, die DNA-Reparatur ergreift, bringt die DNA-Reparatur den Menschen unter einem höheren Risiko für nicht nur Lungenkrebs, sondern mehrere Arten von Krebs. Es gibt jedoch keine Gewissheit darüber, es wurde gesagt, dass Lungenkrebs aufgrund der genetischen Empfindlichkeit des Individuums verursacht werden kann. Bisher gibt es keinen Test, um das erhöhte genetische Krebsrisiko für den konventionellen Gebrauch zu ermitteln.
Bewährt
"Wir wissen, dass in asiatischen Frauen zum Beispiel ein erhöhtes Risiko besteht, Lungenkrebs zu entwickeln, ohne jemals geraucht zu haben, und viele dieser Tumoren haben genetische Mutationen. Wir erforschen derzeit Biomarker - wie Blutuntersuchungen -, um zu versuchen, Krebserkrankungen zu fangen, bevor sie in den späten Stadenten-Tumoren, auch in Nichtmoker, "erzählt Mara Antonoff.
Verschmutzung eines anderen Grunds!
"Die Luft, die wir atmen, ist mit krebserregenden Substanzen gefüllt. Luftverschmutzung im Freien ist nicht nur ein wichtiges Umweltrisiko für die Gesundheit im Allgemeinen, sondern der wichtigste Umweltkrebskiller aufgrund einer großen Anzahl von Personen, die sich ausgesetzt ", erklärt Kurt Straif, Ph.D., Leiter der IARC-Monographien.
Die Forschung fand heraus, dass "winzige staubähnliche Partikel - als" Partikel ", oder PM - ein wichtiger Teil der Luftverschmutzung sind. Die kleinsten Partikel - weniger als 2,5 Millionen Meter, die als PM2.5 bekannt ist, scheinen hinter Lungenkrebserkrankungen zu sein, die durch Umweltverschmutzung verursacht werden. "
Extrem hohe Preise!
Laut der amerikanischen Krebsgesellschaft macht "Lungenkrebs 14% aller neu diagnostizierten Krebserkrankungen in den USA heute um 14% aus. Es fügt hinzu, dass jährlich mehr Patienten allein von Lungenkrebs sterben als Prostata, Brust- und Darmkrebskrebs zusammen (in den USA). "
Die Wissenschaftler des Vereinigten Königreichs haben behauptet, dass "weibliche Lungenkrebs-Todesfälle im Jahr 2040 jährlich 95.000 Jahre alt, von 26.000 im Jahr 2010 - ein Anstieg von mehr als 350%. Männliche jährliche Lungenkrebs-Todesfälle werden im gleichen Zeitraum um 8% steigen, auf 42.000 in 2040 von 39.000 im Jahr 2010. " In den Wissenschaftlern wird Lungenkrebs der größte Grund für die Todesfälle für viele Jahrzehnte sein.
Tödlich für Frauen
In den USA werden jedes Jahr mehr Frauen mit Brustkrebs als Lungenkrebs diagnostiziert. So sollten die Todesfälle von Brustkrebs mehr als Lungenkrebs sein, aber das ist nicht. "Das ist, weil Brustkrebs oft in früheren Stadien gefangen ist als Lungenkrebs, und ein größerer Anteil an Brustkrebserkrankungen ist heilbar, sagt Antonoff.
Alles am Arzt verlassen
Die Menschen gehen in der Regel davon aus, dass regelmäßige Überprüfungen ihnen helfen können, jede Krankheit frühzeitig zu diagnostizieren. Dies ist jedoch nicht der Fall, selbst ein klarer Raucher-Test kann manchmal nicht den Lungenkrebs nicht identifizieren. Gemäß der Task Force der U.S. Präventiven Dienstleistungen sollte jeder das Screening erfolgen, wenn sie einen der unten genannten Bedingungen qualifizieren:
- Ein aktueller Raucher oder ein Beenden in den letzten 15 Jahren
- Zwischen 55 und 80
- Und haben das Äquivalent eines Packs einen Tag seit 30 Jahren (oder 2 Packungen pro Tag für 15 Jahre oder eine Permutation davon geraucht.
Je früher desto besser
Antonoff klärt es als "Es ist ein Missverständnis, dass ein Röntgenstrahl frühe Lungenkrebs fangen wird. Ein CT-Scan hat eine höhere Sensibilität, um frühzeitige Tumore oder vorkrebsartige Läsionen aufzudecken, und die Diagnose einer frühen Bühne bietet Ihnen den besten Schuss bei einer Heilung. Und denken Sie daran, dass ein klarer Scan nicht bedeutet, dass Sie das Rauchen beheben können. Jeden Tag, an dem Sie nicht rauchen, können Sie Ihr Risiko der Entwicklung von Lungenkrebs verringern. "
Es ist nicht zu spät
Menschen, die mit dem Rauchen aufhören, sobald der Lungenkrebs diagnostiziert wurde. Die Vorteile des Aufhörens Zigaretten sind sofort. Die Zirkulation wird sich verbessern und das Risiko von Lungenkrebs verringert sich. Die Verbesserung des Aufhörens mit dem Rauchen ist, dass nach 10 Jahren das Risiko nach dem Aufhören von Risiken um 50% verringert wird.
Husten?
Genau wie die meisten der Krebspatienten haben sich Patienten irgendwann in ihrem Leben geraucht, aber nicht alle Patienten diagnostizierten Raucher. Husten ist das gemeinsame Symptom dafür, aber nicht alle Menschen, die mit Krebs diagnostiziert wurden, leiden an einem Husten, manche Menschen husten überhaupt nicht und sind doch diagnostiziert.
Niedrig-teer.
Jede andere Person, die raucht, ist der Annahme, dass rauchende leichte Zigaretten ihr Lungenkrebsrisiko verringern wird. Besonders die Menthol-Zigaretten sind süchtig machender und schädlicher. Der kühlende Aspekt dieser Zigarette beginnt den Menschen, tief einzuatmen.
Talkum Puder?
Nun, im Laufe der Jahre der Forschungen haben Wissenschaftler erfolgreich gesagt, dass Menschen, die Angst haben, Talkumpuder für das Risiko von Lungenkrebs zu verwenden, während der Geruch eingeatmet wird, sollte sich überhaupt keine Sorgen machen. Menschen, die mit anderen Chemikalien zusammenarbeiten, einschließlich Asbest und Vinylchlorid, werden eher die Krankheit bekommen.
Kiffen
Marihuana Rauchen erhöht das Risiko von Lungenkrebs. Und nicht, um den Punkt zu vergessen, dass die meisten Menschen, die Rauchtopf rauchen, regelmäßig in das Rauchen sind. Einige Forscher haben behauptet, dass Menschen, die Potentopf und Zigaretten rauchen, anfälliger für Lungenkrebs sind.
Antioxidantien
Antioxidationsmittelergänzungen zu essen bedeutet nicht, dass man vor Lungenkrebs sicher ist. Die schockierende Entdeckung wurde von den Forschern getroffen, die die Antioxidantien tatsächlich das Risiko von Lungenkrebs unter Menschen erhöhen, die Beta-Carotin rauchen. Man sollte jedoch immer mit ihrem Arzt bestätigen, da Antioxidantien aus Früchten und Gemüse überhaupt nicht schädlich sind.
Nicht unsere Schuld
Für die Menge, die nicht raucht, atmet die extrem verschmutzte Luft und ist zu einem großen Problem geworden. Die U.K. ist in "Lungenkrebs, verursacht durch Luftverschmutzungsfälle, mit 1 in 10 Lungenkrebsfällen, die durch Exposition gegenüber Außenluftverschmutzung verursacht wurden.
Älteste, ein leichtes Ziel?
Die meisten Lungenkrebspatienten leiden seit Jahren unwissentlich an der Krankheit, bevor er diagnostiziert wird. Nach Aufzeichnungen, im Jahr 2011, waren "82% der Patienten von Lungenkrebspatienten 60 Jahre alt oder älter. Bei den meisten Patienten, die mit Lungenkrebs diagnostiziert werden, werden mit einer Bühnen-III- iii- oder stufe-IV-Krankheit diagnostiziert. "
Gibt es keine Symptome?
Leider sind die Symptome von Lungenkrebs nicht sichtbar, bis er die fortgeschrittene Bühne erreicht hat. Ärzte suchen immer noch nach ähnlichen Merkmalen, die in den frühen Stadien häufiger sind. Nachfolgend werden die Symptome erwähnt, die er enthalten kann:
-Zusetzen Sie Blut, sogar eine kleine Menge
-Ein neuer Husten, der nicht verschwindet
Gewicht abnehmen, ohne es zu versuchen
-Kurzatmigkeit
-Heiserkeit
-Brustschmerzen
-Knochenschmerzen
-Headaches.
Nichts zu schämen
"Jeder verdient Gesundheitswesen ohne Urteil. Sehr wenige andere Krankheiten tragen das Stigma, das Lungenkrebs tut. Lungenkrebs-Patienten werden ständig gefragt, ob sie geraucht wurden. Es wurde jedoch umgedreht, um den Patienten anzurufen ", sagt Antonoff. Viele Mal sind die Patienten nicht angenehm, ihre Raucherversuche zu teilen, und einige verlassen sich nicht einmal nach der Diagnose.
Sinnlos zu beenden
Wenn jemand mit Lungenkrebs diagnostiziert wird, wird es immer vorgeschlagen, dass sie mit dem Rauchen aufhören, während viele Leute denken, dass es für die Patienten unbrauchbar ist, sowieso aufzuhören. "Es gibt klare Daten über die Ergebnisse des Betriebs auf Raucher vs. Nonmokers, und ein Patient hat eher Probleme nach der Operation - wie zum Beispiel einen Beatmungsgerät benötigt oder in die ICU eingelassen werden muss - wenn sie immer noch rauchen. Es ist so wichtig, dass ich bitte, dass alle meine Patienten vor der Operation aufhören. Weiter zu rauchen erhöht sich auch Ihre Wahrscheinlichkeit, ein zweites Lungenkrebs zu entwickeln ", erklärte Antonoff.
E-Zigaretten?
Normalerweise wechseln die Menschen auf E-Zigaretten, um ihr Krebsrisiko zu senken, aber als Antonoff sagte: "Wir haben noch nicht viele langfristige Daten zum Vaping, aber wir wissen, dass Benutzer Karzinogene ausgesetzt sind, indem sie sie verwenden." E-Zigaretten umfassen Tabak-extrahierte Nikotin, das süchtig ist. Die Forscher haben gezeigt, dass mehr als die Hälfte derjenigen, die regelmäßige Zigaretten rauchen.
Komplikationen
Die Person, die an Lungenkrebs leidet, steht den folgenden Komplikationen aus:
-Schmerzen
-Blut husten
-Kurzatmigkeit
-Fluid in der Brust (Pleural Effuption)
Was ist, wenn es sich ausbreitet?
Als Krebs-Spreads basieren zusätzliche Symptome auf neuen Tumorenform.
-Lymph-Knoten: Klumpen, insbesondere im Hals oder Halsband
-Bones: Knochenschmerzen, insbesondere in Rücken, Rippen oder Hüften
-Lymph Knoten: Klumpen, vor allem in den Hals oder Schlüsselbein
-Brain oder Wirbelsäule: Kopfschmerzen, Schwindel, Bilanzfragen oder Taubheit in Armen oder Beinen
-Liver: Vergilbung von Haut und Augen (Gelbsucht)
Neurologische Effekte
Der Druck großer Tumoren, der in den Lungen wächst, führt zu schweren Rückenschmerzen. Es besteht die Möglichkeit, dass sich Krebs auf die Rücken- oder Rippen der Patienten verbreitet hat. Wie es sich entwickelt, kann ein Krebs-Tumor eine Kompression des Rückenmarks verursachen. Folgen sind die Symptome:
-Eine Schwäche in den Armen und Beinen
-Numbheit oder -verlust in den Beinen und Füßen
-Zuinär- und Darminkontinenz
-Interferenz mit der Blutversorgung der Wirbelsäule
Nebenwirkungen
Es ist ein Missverständnis, dass Sie während der Behandlungen nicht besser helfen können. Die Patienten müssen ihre Situation mit den Ärzten und all den Ärger teilen, die sie gegenüberstehen. Es gibt Drogen, die Ärzte verschreiben können, um den Schmerz zu senken, Übelkeit oder Hautausschläge zu kontrollieren, Durchfall zu lindern und den Appetit zu stimulieren. Andere als die Medikamente gibt es mehr Möglichkeiten, um zu helfen.
Hausmittel
Obwohl Krebs nicht durch Hausmittel, homöopathische Behandlungen geheilt werden kann. Es gibt einige Behandlungen, die den Patienten helfen, den Schmerz zu senken. Man sollte immer mit dem Arzt konsultieren, bevor Sie mit einem der folgenden Schritte fortfahren:
-Massage
-Akupunktur
-Meditation
-Hypnose
-Yoga
Was sollte die Diät sein?
Diese Liste besteht darin, Ihnen eine Idee zu geben, auf der Grundlage der Situation des Patienten ist ein ärztlicher Eingriff erforderlich, da sich jeweils unterscheidet:
-At, wenn Sie hungrig fühlen
-In Fall, Patient hat keinen großen Appetit, kleinere Mahlzeiten in geringerer Intervalle funktionieren
-Mint und Ingwer Tees helfen bei besserer Verdauung
-Bei schwachen Magen und Entzündungen im Mund, vermeiden Gewürze und Stick fades Essen.
-In Verstopfungsfall, fügen Sie weitere High-Faser-Lebensmittel hinzu.
Klassifizieren
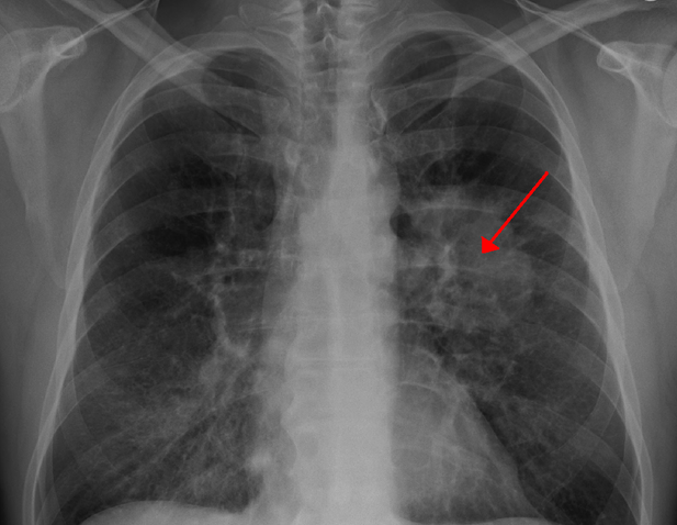
Lungenkrebs hat zwei Typen: nOn-Small-Cell-Lungenkrebs (NSCl) und kleiner Zell-Lungenkrebs (SCLC), der den Ärzten weiterhin hilft, das Ausmaß zu stillstehen, in dem Krebs bereits verbreitet ist und wie es möglicherweise behandelt werden kann.
Die drei Arten
Die American Cancer Society (ACS) erklärt "Nicht-Small Cell Lung Cancer (NSCLC) -Krebserkrankungen für etwa 80 Prozent der Lungenkrebsfälle. Die drei Hauptgeräte von NSCLC sind:
-Adenokarzinom. Dies macht 40 Prozent der Fälle von Lungenkrebs aus. Es ist normalerweise in den äußeren Teilen der Lunge zu finden. Es neigt dazu, langsamer zu werden als die beiden anderen Subtypen, so dass es eine bessere Chance gibt, einen Tumor zu finden, bevor er sich verbreitet hat.
-Plattenepithelkarzinom. Dies macht etwa 25 bis 30 Prozent der Lungenkrebserkrankungen aus. Es wächst aus den Zellen, die die Innenseiten der Lungen-Atemwege leiten. Das Plattenepithelzellkarzinom wird normalerweise in der Mitte der Lunge gefunden.
-Large Zellkarzinom. Dies macht 10-15 Prozent der Lungenkrebserkrankungen aus. Es ist in einem beliebigen Teil der Lunge zu finden, und neigt dazu, schneller zu wachsen als die anderen Subtypen. "
9 Sommer Costco Artikel Mitglieder sind Aufstocken der Big-Time Right Now
Der geheime Schneidebrett Trick, der deinen Geist absolut bläst