es besteht das Risiko einer Krankheit! 15 Symptome, dass thailändische Menschen eine Menge sind, die diesen Zustand hat, beeilen Sie sich, einen Arzt zu sehen. Ihre Schönheit
Drama, das Leben ist möglicherweise nicht das gleiche wie ein Gesundheitsdrama!
Zuletzt war Doktor Ched - Dr. Jet Bunyawongwiroj stellvertretender Direktor des primären Geschäftsleiters Maharaj Nakorn Ratchasisima Hospital, um eine direkte Facebook -Warnung bis zu 15 Symptome zu veröffentlichen, die ein Zeichen für Krebs sein können, das thailändische Leute oft treffen können, dass dieses Ereignis "übersehen" mag, ein kleines Symptom könnte das Wirkliche möglicherweise vermissen!
Krebs gilt als Top -Tod thailändischer Menschen. Im Jahr 2022 gab es 183.541 neue Patienten und mehr als 118.829 Todesfälle. In dieser Zahl sind die ersten fünf Krebs wie Brustkrebs, Leberlungen, Groß- und Gebärmutterhalskrebs, die mehr als 60% aller Patienten repräsentieren.
Es ist auch erwähnenswert, dass Kinder und Arbeiter dazu neigen, sich mehr zu erheben. Dickdarmkrebs ist auch bei Menschen unter 55 Jahren zu finden. Das Wichtigste sind die anfänglichen Symptome vieler Krebsarten, manchmal keine Schmerzen. Daher dazu führen, dass viele Menschen selbstgefällig sind
daher Screening -Test Regelmäßig, selbst wenn Sie sich nicht krank oder jung fühlen sollten, sollten ein Arzt aufsuchen
Weil wissenschaftliche Informationen eindeutig darauf hinweisen, dass "schnell rechtzeitig gefunden". - Das ist der Wendepunkt!
Insgesamt 15 Krebssymptome, die vorsichtig sein müssen:
Dickdarmkrebs
Nicht schießen, mit Blut im Kot, Verstopfung abwechselnd Durchfall - beschuldigen Sie nicht Perlentee!

Magenkrebs
Abdominal, gelangweilt, Blut erbricht - stillschweigend sehen kann ernst sein

Gebärmutterhalskrebs
Es gibt abnormale Blutungen, Vaginalausfluss, Farbe oder Geruch - seien Sie nicht selbstgefällig.

Brustkrebs
Es gibt Würfel, Orangenschalenhaut, abnormale Flüssigkeit - häufig ohne Beschädigung überprüft.

Lungenkrebs
Chronischer Husten, blutendem Schleim, Brustschmerzen - lassen Sie nicht los

Leberkrebs
Gelb, geschwollener Magen, Gewichtsverlust - schnell beobachten

Speiseröhrenkrebs
Schwer zu schlucken, heiser Stimme, chronischer Husten - nicht nur ein normaler Hals

Tyroidkrebs
Es gibt Würfel, Atembeschwerden, Lymphknoten - müssen von Experten untersucht werden.

Ovarkrebs
Blacent, Bauchschmerzen, Vaginalblutungen - Mädchen müssen vorsichtig sein!

Bauchspeicheldrüsenkrebs
Linpi Schmerzen, gelb, blasse Kot - sieht aus wie klein, aber groß

Aus Krebs
Nicht schießen, der Klumpen im Anus - sei nicht schüchtern zu überprüfen

Weiße Blutkörperchen
Fieber, unbekannte Ursache, Nachtschweiß, Blut - Hintergrund kann außergewöhnlich sein

Prostatakrebs
Häufiger Urin, nicht schneidigen, blutend - Sie sollten Männer aufpassen.

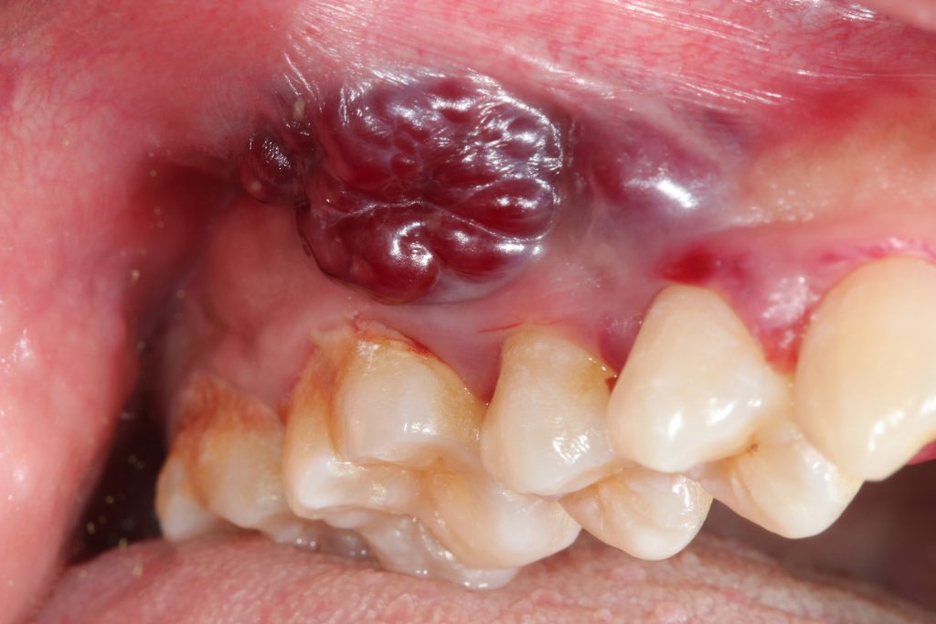
Mundkrebs
Es gibt Würfel, schwer zu schlucken, Gewichtsverlust - nicht nur heiß in

Hautkrebs
Mall -Veränderungen, chronische Wunden, unvollständige Hautausschläge - müssen vorsichtig sein!

Die 5 besten Haushaltsgegenstände, die Sie bei Aldi kaufen können, sagen Experten, sagen Experten
Dieser erfrischende Rosé-Spritz ist der ultimative gesunde Sommercocktail