6 gefährliche Krankheiten, die Sie für beseitigt haben - aber nicht
Monkeypox macht Schlagzeilen, aber welche anderen Krankheiten könnten als nächstes sein?
Monkeypox, der jetzt Schlagzeilen macht, weilEin schnell verbreiteter Ausbruch, war eine Krankheit, von der viele Menschen bis vor kurzem noch nie gehört hatten - was allein Angst hatte, zu bekommen. Der Name erinnert an Pocken - eine Krankheit, die 1980 global ausgerottet wurde -, aber Monkeypox ist eine andere Krankheit. "Pocken war sehr ansteckend undleichter verbreiten als Monkeypox, "die Cleveland -Klinik erklärt." Monkeypox -Symptome sind ähnlich wie bei Minderchen als Pockensymptome. "
Tatsächlich ist Pocken tatsächlich die einzige menschliche Infektionskrankheiterklärt werden ausgerottet von der Weltgesundheitsorganisation (WHO). Das ist richtig - einige der Krankheiten, von denen Sie dachten, sie seien "ausgerottet", sind nicht zu 100 Prozent verschwunden. Wenn sie nicht mehr vorkommenin einer bestimmten geografischen RegionDiese Krankheiten werden als "eliminiert" bezeichnet - aber es besteht immer eine Chance, dass sie zurückkommen könnten. Lesen Sie weiter, um über sechs beängstigende Krankheiten zu erfahren, die dort noch immer draußen lauern ...
Lesen Sie dies als nächstes:Das Schlimmste, was Sie in öffentlichen Badezimmern tun, warn.
1 Polio

Polio ist eine lähmende, unheilbare und manchmal tödliche Erkrankung, diekönnen Patienten verlassen Mit dauerhaften Behinderungen berichtet WeForum. "Das Virus breitet sich entlang der Nervenfasern im Rückenmark aus und frisst die Nerven in den Körperteilen weg, die es uns ermöglichen, sich zu bewegen", erklären ihre Experten. Polio wurde fast vollständig ausgerottet - aber nicht ganz. Laut WeForum sind die globalen Fälle von Polio seit 1998 um fast 99 Prozent gesunken. Nur drei Länder wurden immer noch regelmäßige Fälle festgestellt: Nigeria, Pakistan und Afghanistan.
2 Masern

Zwischen 1953 und 1963 fast alle KinderMasern entwickelt Im Alter von 15 Jahren erklärt die Zentren für die Kontrolle und Prävention von Krankheiten (CDC), wobei jedes Jahr in den USA jedes Jahr ungefähr drei bis vier Millionen Menschen in den USA infiziert sind.unter gemeldeten Fällen, schätzungsweise 400 bis 500 Menschen starben, 48.000 wurden ins Krankenhaus eingeliefert und 1.000 erlitten eine Enzephalitis (Schwellung des Gehirns) von Masern " Die USA im Jahr 2000. Dennoch betrifft die Krankheit schätzungsweise 20 Millionen Menschen pro Jahr, hauptsächlich in Entwicklungsgebieten Asiens und Afrikas.
3 Mumps

Wie Masern,Mumps waren vorherrschend Bevor ein Impfstoff zur Verfügung gestellt wurde. Mumps verursacht geschwollene, geschwollene Wangen und Kiefer sowie Symptome wie Fieber, Kopfschmerzen und Muskelschmerzen.
"Die gemeldeten Fälle gingen nach beiden um mehr als 99 Prozent zurückMumps Impfprogramm Begonnen 1967 in den USA und Kinder erhielten regelmäßig zwei Dosen MMR [Masern, Mumps und Röteln] Impfstoff ", berichtet" The CDC " waren bei jungen Erwachsenen und Menschen, die geimpft wurden. "Der US -Apotheker merkte an, dass diese Wiederbelebung" angenommen wird, dass es aufgetreten istaus mehreren Gründen, einschließlich sinkender Impfstoffniveaus und des Mangels an empfohlenen Boostern für den MMR-Impfstoff. "
Weitere Gesundheitsnachrichten, die direkt in Ihren Posteingang gesendet werden,Melden Sie sich für unseren täglichen Newsletter an.
4 Röteln

Eine andere ansteckende Krankheit, die durch ein Virus verursacht wird, Rötelngenannt worden Die "deutschen Masern", aber es ist nicht die gleiche Krankheit. "Gesundheitsproblemeverursacht durch diese Krankheiten Überlappung "Die CDC erklärt." Jedes von ihnen kann Hirnschäden, Taubheit und Blindheit verursachen. Masern können Lungenentzündungen und Durchfall verursachen, während Röteln und angeborenes Röteln -Syndrom zu Herzerkrankungen führen können. "
Ein Impfstoffwurde für Röteln lizenziert 1969 und 2004 wurde es aus den USA beseitigt, aber die CDC stellt fest, dass Röteln immer noch ein Problem für andere Länder ist und in die USA gebracht werden kann, wenn jemand an einem anderen Ort infiziert ist.
5 Guinea -Wurmkrankheit

Es ist kein Heilmittel oder Impfstoff gegen die GWD -Krankheit (GWD).eine parasitäre Krankheit in dem Menschen mit Guinea -Würmern infiziert sind, indem sie versehentlich ihre Larven konsumieren. GWD verursacht extreme Schmerzen, Unfähigkeit und mögliche sekundäre Infektionen, wenn der ausgewachsene Wurm durch einen schmerzhaften, brennenden Blasen durch den menschlichen Körper freigesetzt wird.
GWD kann der werdenZweiter menschlicher ansteckender Krankheit ausgerottet, aber nicht mit einem Impfstoff; Es wird mit Hygiene, Wasserkontamination und Gesundheitserziehung angesprochen. Das Carter Center meldet dasKrankheitserziehung sind von etwa 3,5 Millionen Fällen pro Jahr auf nur 15 Fälle im Jahr 2021 gesunken.AE0FCC31AE342FD3A1346EBB1F342FCB
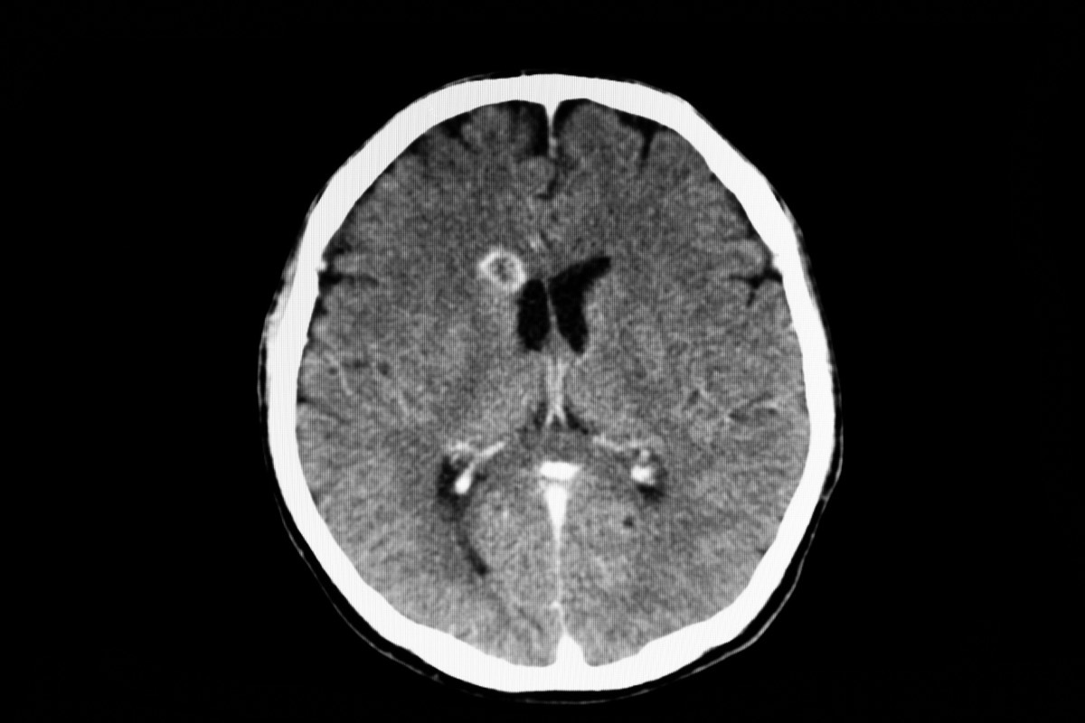
6 Zystizerkose

Eine andere parasitäre Infektion, Cysticercose, wird "durch Larvenzysten von verursachtDas Bandwurm Taenia Solium"Sagt die CDC." Diese Larvenzysten infizieren Gehirn, Muskeln oder anderes Gewebe und sind eine Hauptursache für Anfälle für Erwachsene in den meisten Ländern mit niedrigem Einkommen. "
Die Infektion kann zu Zysten führen, die in verschiedenen Bereichen des Körpers auftreten, einschließlich Muskeln, Augen und Gehirn. "Symptome, die durch die Zysten verursacht werden, hängen von Ort, Größe, Anzahl und Stadium der Zysten ab", sagt die CDC.
Laut Science Direct wurde Cysticercosein Europa beseitigt Mit "verbesserter sanitäre Einrichtungen, besserer Tierhaltung und Fleischinspektion". Zystizerkoseist am häufigsten In "Gebieten Lateinamerikas, Asiens und Afrika, die schlechte sanitäre und freistehende Schweine haben, die Zugang zu menschlichen Kot haben", berichtet die CDC.
8 Möglichkeiten, Schokolade zu verwenden, um eine schöne Haut zu haben
Die "schönsten" McDonalds in Amerika ist in diesem Zustand