Eine Frau hatte ihre Welt verändert, als sie lernte, als sie schwanger war, aber nicht mit einem Kind!
Kinder machen eine Familie ab. Sie sind das Leben des Hauses, und Sie können damit einverstanden sind, ob Sie ein Kind haben, egal wie sehr sie Sie mit ihrem achtlosen Acti stören lassen
Kinder machen eine Familie ab. Sie sind das Leben des Hauses und Sie stimmen zu, wenn Sie ein Kind haben, egal wie sehr sie Sie mit ihren unachtsamen Handlungen stören. Und wenn Sie neu verheiratet sind, müssen Sie darüber nachdenken, eine Familie zu beginnen. Lauren Knowles Eine schottische Mutter war sehr glücklich darüber, dass sie mit ihrem zweiten Kind schwanger war. Es dauerte jedoch eine hässliche Wende, als sie erfuhr, dass sie nicht mit einem Kind schwanger war, sondern mit einer Krebsmasse. Was als nächstes passiert ist, war unglaublicher ......
Süße Familie
Lauren Knowles gehört zu Aberdeen von Schottland. Sie hatte sich seit einigen Tagen nicht gut gefühlt und als die Situation bestehen bleibt, dachte sie daran, einen Arzt zu sehen. Nun, es war eine Apt-Entscheidung. Der Arzt sagte ihr, dass sie ein anderes Kind in ihrem Mutterleib trägt. Die Twist war nicht das, die gute Nachricht wurde mit etwas geworgert, das sie bald lernen würde.
Wieder schwanger

Die 27-jährige Frau erwartete bereits ein Kind, als sie lernte, dass sie eine Mutter für eine weitere Zeit sein würde. Nun, die Nachrichten bekamen sie und ihre Verlobte über den Mond. Die beiden hatten einen Sohn namens Charlie, und jetzt würde der Junge ein eigenes Baby haben.
Der Countdown beginnt
Zuvor waren sie bereits einen Sohn von einem Sohn, so dass ein anderer ein Problem war, kein Problem für sie. Charlie wurde 2012 geboren und zwei Jahre später war das Paar wieder schwanger. Alles, was sie zu dieser Zeit fühlten, war Aufregung. Sie waren sehr begeistert, ein neues Mitglied in ihrer Familie zu begrüßen.
Es gab ein Problem
Die ersten sieben Wochen bestanden normal. Die Mutter und der Vater hatten bereits angefangen, sich auf ihr ungeborenes Baby zubereiten. Sie wollten, dass es dieses Mal ein Mädchen ist, als sie bereits einen Sohn hatten. Nun, die Planung eines Babys in nur wenigen Tagen war tatsächlich zu früh. Aber sie waren zu aufgeregt, um darüber nachzudenken.
Etwas war amis
In der siebten Woche ihrer Schwangerschaft erlebte sie etwas Komisches. Lauren sah schwere Spottings. Es störte ihn jedoch nicht, als sie das Gleiche erlebt hatte, als sie Charlie in ihrem Mutterleib traf. Die Blutung hörte nicht auf. Die kontinuierliche Blutung begann sie zu stören und entschied sich also, einen Arzt zu sehen.
Den Arzt sehen
Lauren hatte eine Händler, dass etwas falsch war! Sie ging, um einen Arzt zu sehen, um herauszufinden, was genau mit ihr falsch war. Die Dame hatte sich in ihrem wildesten Traum nie vorgestellt, was der Arzt ihr erzählen würde.
Ahnungslos
Sogar der Arzt wuchs misstrauisch, als sie ihr von den ständigen Blutungen erzählte. Der Arzt selbst verblüffte, schlug sie vor, sich medizinische Tests zu unterziehen, um die Hauptursache herauszufinden. Das Ergebnis kam nach einer Woche. Lauren war in der Tat schwanger, aber nicht mit einem Kind ...... ..
Bad Newz.
Ärzte erzählten ihr, dass sie eine molare Schwangerschaft hatte. Lauren hatte noch nie von ähnlichem gehört. Aber indem Sie die Ausdrücke des Arztes sehen, dachte sie, dass es keine gute Nachricht war. Sie fragte ihren Arzt, was bedeutet es, und welcher Arzt sagte ihr, dass sie sich selbst in ihrem wildesten Traum nicht vorgestellt hatte.
Molar-Schwangerschaft

Die Molar-Schwangerschaft, auch bekannt als die gestative trophoblastische Erkrankung, entwickelt einen Tumor im Mutterleib. Der Tumor ist die Ansammlung von Trophoblast-Zellen. Die Krankheit wird oft als Schwangerschaft von den Menschen, wenn der Körper damals das Schwangerschaftshormon erzeugt.
Was als nächstes?

Menschen, die den Tumor für ein Baby verwechseln, lernen dies normalerweise darüber aus, wenn es zu spät ist. All dies wächst der Tumor immer wie ein Baby. Das macht den Körper positive Zeichen. Es war eine herzzerreißende Nachricht für Lauren. Sie hatte so viele Dinge für ihr Baby geplant. Warten Sie, das war nicht die schlechtesten Nachrichten ...... ..
Es war tödlich
Sie erfuhr, dass der Tumor, den sie getragen hatte, krebsartig war. Sie mussten es chirurgisch entfernt werden. Inzwischen erhielten sie sie auf eine niedrige Chemotherapie, um zu zerstören und den Krebszellen zu überprüfen. Die Medikamente lernten nicht gut, da die Hormone den Tumor fütterten. Folglich mussten sie mit der Chemotherapie weitermachen.
Nach fünf Monaten.

Fünf Monate vergingen so. Die Frau hatte in diesen fünf Monaten Tausende von Besuchen im Krankenhaus gemacht. Ihr Zuhause war voller Trauer und Stress. Ihr kleiner Sohn war die einzige Quelle des Glücks im Haus. Laurens Verlobter blieb die ganze Zeit an ihrer Seite.
Brauchen frische Luft

Eines Abends nahm sie ihren Sohn aus. Lauren brauchte nach Monaten emotionaler und körperlicher Belastung wirklich frische Luft. Sie ging mit ihrem Sohn in einen Park. Lauren wusste nicht, wie lange sie leben wollte, und so wollte sie so viel Zeit mit ihrem Sohn wie möglich ausgeben. Das war das erste Mal, dass sie in diesen fünf Monaten so gut fühlte. Es war dann etwas sehr unerwartetes passiert.
Entlüften Sie es

Charlie schien den Tag in vollen Zügen zu genießen. Seine Mutter drückte ihn genau wie alte Tage auf eine Schwung. Auch Lauren hatte begonnen, sich gut zu fühlen, als sie plötzlich schwere Krämpfe fühlte. Sie rannte in ihr Zuhause zurück, um etwas falsch zu verdächtigen. Als sie überprüfte, erkannte sie, dass sie stark geblutet hatte.
Hilfe
Die Frau nannte sofort den Arzt, der sie riet, in das Krankenhaus zu kommen. Lauren wurde in die Krebsstation zugelassen. Lauren schrieb an eine Website namens KidsPot ", kam ich in der Notaufnahme der Frauenkrankenhaus an und sah den Facharztgutarzt. Er untersuchte mich und fand zwei neue Tumore, die an dem Eingang meiner Vagina wachsen, der gebrochen war und meine riesige Blutung verursacht hatte. " Sie war in kritischer Bühne.
Behandlung begann

In der folgenden Woche wurde Lauren mit sechs hohen Chemotherapiedosen behandelt. Die Therapien waren so stark, dass die Frau in einer Woche kahl ging. Trotz starken Medikamenten verschlechterte sich ihr Zustand jedoch weiter. Anscheinend kämpfte Lauren körperlich und geistig.
Alles verlieren.
Lauren begann die Hoffnung zu verlieren. Die Dame begann allmählich in Depressionen mitzutreten. Ihr Körper reagierte nicht gut auf die Behandlung, und sie wusste, ob es auf die gleiche Weise geht, wie sie bald sterben würde. Obwohl ihr Sohn und der Verlobte sie jeden Tag besuchen würden, weinte sie oft allein in der Nacht im Badezimmer.
Dinge ughified.
Zusammen mit den Hoffnungen verlor Lauren auch ihr Vertrauen. Sie hasste, in den Spiegel zu schauen. Har Skin hatte runzniert, die Augen sahen geschwollen, müde und mit dunklen Kreisen umgeben. Sie hatte alle ihre Haare verloren. Sie hörte auf, jemanden als ihre eigene Familie zu treffen.
Nicht noch einmal

Eines Tages lag sie auf ihrem Bett, als sie wieder solche quälenden Krämpfe spürte. Inzwischen hatte sie sich von diesen gewöhnt, dachte, sie würden nach einer Weile weggehen. Es wurde jedoch nur noch schlimmer. Sie ging in Richtung Badezimmer.
Es herausschieben

Sie nahm sie mit sich selbst mit dem Badezimmer. Der Schmerz stieg um Minute um Minute. Lauren konnte nicht verstehen, was sie tun sollte. Sie setzte sich auf den Sitz der Toilette und passierte dann etwas Seltsames. Plötzlich fühlte sie sich wie beim Drücken.
War sie gebilligt?

Sie hatte Kontraktionen. So wie eine schwangere Frau kurz vor der Auslieferung erfährt. Als sie bereits ein Kind geboren hatte, wusste sie, was genau zu tun hatte. Sie begann, hart zu drücken, als würde sie ein Kind zur Welt bringen. Obwohl es kein Kind in ihr gab, war der Schmerz, dieses Ding herauszubringen, dasselbe. Leider gab es niemanden um ihr, der sie durch den Prozess helfen konnte. Würde sie es schaffen können?
Endlich raus

Lauren sagte: "Es war die gleiche Größe wie ein Baby in 17 Wochen, also war es ein großer Tumor, ohne Hilfe auszutreten." Für einmal fühlte sie sich wie aufzugeben. Aber sie wusste, dass das Erliegen jetzt nur der Erlaubnis, den Tod einzudringen würde. Also versuchte sie es weiter. Nach einer Weile spürte sie eine sofortige Erleichterung.
Ist es schon vorbei?

Sie sah herunter und fing an, unaufhörlich zu weinen. Sie zitterte mit Schwäche und brach bald auf dem Boden zusammen. Ihr ganzer Körper war rot gegangen und wurde mit Schweißbad gebadet. Hatte sie den Kampf gewonnen oder war es nur ein Vorbote von etwas Schlimmem? Es war zu sehen. Im Moment fühlte sich die Dame erleichtert. Sie liege immer wieder auf dem Boden, bis eine Krankenhaushilfe sie bemerkte.
Die Dunkelheit endete im Licht
Lauren sagte: "Ein massives Gefühl der Erleichterung kam über mich - ich fühlte mich so dankbar, dass der Tumor endlich aus mir heraus war." Die Masse, die die siebenundzwanzigjährige Frau zur Welt brachte, um die gleiche Größe wie einer riesigen Birne zu hatten. Jetzt war sie außer Gefährdet. Sie hatte Tränen in den Augen, als der Arzt ihr sagte, dass sie vollkommen gut war.
Rückkehr zur Gesundheit

Lauren blieb bis zur Zeit im Krankenhaus, bis sie ihre Kraft zurückkam. Die Frau mit neuem Vertrauen wurde schnell erholt. Sie kam in ein paar Tagen in ihr älteres Selbst zurück. Der Arzt enthüllte sie, sagte aber auch etwas, das ihr Herz wieder brach.
Nicht alles war in Ordnung
Sie erfuhr, dass Tumor ihren Mutterleib schlecht beschädigt hatte. Und deshalb konnte sie kein anderes Kind empfangen. Die Nachrichten störten sie, aber jetzt hatte sie den Wert des Lebens verstanden, und deshalb entschied sie sich, sich mehr auf Menschen zu konzentrieren, die bereits in ihrem Leben waren.
Ein neuer Anfang

Bald darauf verlief die Familie nach Perth, Austrailia. Das Wetter war äußerst angenehm und warm. Perfekt, um ihre dunkle Vergangenheit zu überwinden. Alles war wieder normal gegangen, und Lauren lebte ein glückliches Leben, als eine andere Nachricht sie schlug.
Der Schmerz wieder

Wieder spürte sie Schmerz in ihrem Bauch. Ihre alte Angst kehrte zurück. Obwohl es ein Jahr gewesen wäre, waren die Narben immer noch da. Sie informierte Trent darüber. War es wieder passiert? Sie gingen ins Krankenhaus, um den Arzt zu sehen. Welcher Arzt sagte ihnen, dass sie überhaupt nicht vorbereitet waren.
Richtig oder falsch?

Sie sagte: "Ich konnte das Gefühl nicht genießen." Der Arzt sagte ihr, dass sie schwanger war. Die Nachrichten schien jedoch keine gute Nachricht für sie zu sein. Sie machte mir Sorgen, was passiert, wenn es das letzte Mal war. Was ist, wenn es kein Baby wäre, sondern ein anderer Tumor? Die Zweifel verängstigten sie.
Schwangerschaft bestätigt
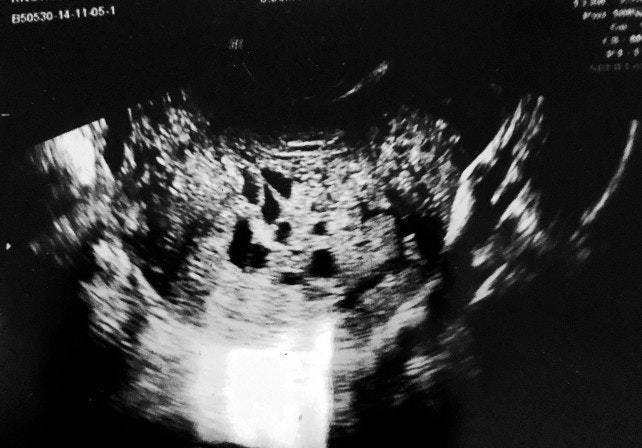
Ihre Zweifel zerstreuten sich, als der Arzt einen Herzschlag in ihr entdeckte. Sie war in der Tat schwanger. Lauren schrieb in KidsPot, "verzweifelt, um herauszufinden, ob wir eine realisierbare Schwangerschaft hatten, hatten wir einen Ultraschall-Scan in fünf Wochen und zwei Tage. Es wurde mir gesagt, dass es zu früh sein könnte, um etwas zu sehen, aber fast sofort sahen wir den Flimmern eines starken Herzschlags auf dem Bildschirm, und ich brach in Tränen. Wir konnten es nicht glauben. "
Nicht zu glauben

Sie dachte, sie würde niemals schwanger werden. Als der Arzt ihr sagte, dass sie tatsächlich ein Baby haben würde, konnte sie es nicht glauben. Es schien, dass die Natur mit ihr ein Spiel spielte. Sie war jedoch äußerst glücklich, nachdem sie die Nachricht erhalten hatte. Aber Lauren hatte keine Ahnung, wie Trent darauf reagieren würde?
Strahl des Verdachts

Genau wie Lauren war auch ein Trent völlig überrascht, als er davon hörte. Er war jedoch skeptisch, das Baby zu halten. Er fürchtete, dass die Schwangerschaft Komplikationen für Lauren verursachen könnte. Er drückte ihre Verwirrung ihr aus. Aber auf die Beharrlichkeit von Lauren relante er sich.
Anw beginnen

Eine neue Reise hatte begonnen. Das Paar wollte tatsächlich ein anderes Baby haben. Da Lauren bereits ihren Anteil an Schmerz und Härten konfrontiert war, brachte ihre Schwangerschaft kein Problem auf. Es ging glatt. Sie würde routinemäßig zum Arzt gehen, um sie und ihr Baby zu überprüfen. Schließlich brachte Lauren eine gesunde und schöne Tochter zur Welt.
Keine normale lieferung.
Da die Lieferung normalerweise keine Option für sie war, musste sie sich einem C-Bereich unterziehen, um das Baby aus ihr herauszuholen. Die Operation wurde fünf Wochen vor dem tatsächlichen Liefertermin erstellt. Sie nannten ihr neugeborenes Kind "Indi". Lauren sagte: "Nach all meiner Behandlung fiel das Licht am Ende des Tunnels mit Indi schwanger."
Welt wissen lassen.

Anstatt ihre Geschichte selbst zu halten, entschied sich Lauren, es mit der Öffentlichkeit zu teilen, damit sie mehr über die Molar-Schwangerschaft erfahren konnten. Nach ihr sterben viele Frauen aufgrund ihrer Unwissenheit an der Molaren Schwangerschaft. Zusammen mit dem glaubt sie auch, dass ihre Geschichte vielen Menschen Hoffnung geben würde, um ihre Trauer zu überwinden. Sie sagte: "Ich möchte den Menschen hoffen, dass selbst in den schlimmsten Szenarien, was unmöglich ist, immer noch möglich ist, während das Sensibilität der Molaren Schwangerschaft mehr aufmerksam ist."
Der Einkaufsfehler von Lebensmittelgeschäft, den Sie vornehmen, bevor Sie den Laden betreten
Warum sollten Sie das Brot auf der Theke nicht halten?